Tooth Reshaping
Dentoblanc, Thiruvalla


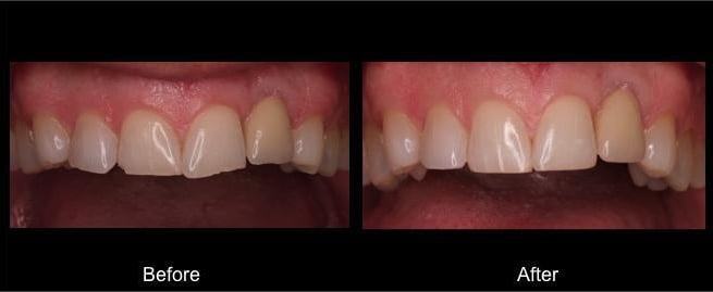
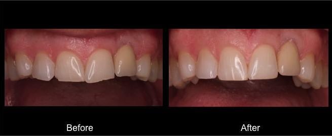
Teeth reshaping is an excellent solution for individuals looking to enhance their smile by correcting minor imperfections. Whether you have slightly damaged teeth, uneven edges, or small chips, teeth reshaping can significantly improve your smile without the need for a major makeover. We at Dentoblanc Dental Clinic, Thiruvalla offer a variety of teeth reshaping services designed to refine and perfect your smile with minimum intervention. Our expert team of doctors utilizes advanced dental techniques and technology to deliver personalized care, ensuring you achieve the best possible results. Explore our range of services including tooth contouring, bonding, and veneers, and see how we can help you achieve a more confident smile.
Reasons of Teeth Reshaping
Uneven Teeth: Smooth out rough or jagged edges to create a uniform appearance.
Chipped or cracked teeth: Repair minor damage and prevent further issues.
Overlapping Teeth: Can cause misalignment, impacting oral hygiene and smile aesthetics.
Tooth Length: Adjust the length of the teeth, either shorten or elongate them, to create a balanced and beautiful smile.
Irregular Tooth shape: Refine the shape of teeth to enhance overall symmetry and appearance.
Types of Tooth Reshaping Procedures
A. Contouring
Contouring involves gently reshaping the enamel to smooth out uneven edges and correct minor imperfections. This quick and painless procedure can dramatically improve the appearance of your teeth, making them look more uniform and pleasing to the eye.
B. Bonding
Often, teeth reshaping treatment is done with the help of tooth-colored resin material called composites; this procedure is called bonding. The resin is carefully sculpted and hardened with the help of a special light, resulting in a natural-looking finish that enhances your smile. This is mainly used to treat chipped teeth, close gaps, or alter the shape of the teeth.
C. Veneers
Veneers are thin, custom-made shells made of porcelain or composite resin, designed to cover the front surface of your teeth. These are ideal for correcting significant imperfections and are the most long-lasting teeth reshaping treatment option.
Cost of Teeth Reshaping
We strive to make teeth reshaping procedures affordable and accessible. The overall cost of teeth reshaping depends on the extent of the treatment required and the techniques used to provide the desired results. The teeth reshaping cost can range from Rs. 1500 to Rs. 8500, depending on the amount of work required in each case. The cost of tooth reshaping, including dental reshaping cost, is competitive, ensuring value for your investment.